河内長野市の歯医者・歯科医院 | おかもと歯科 | 一般歯科
ODC

おかもと歯科

治療内容

tel

〒 586-0009
大阪府河内長野市木戸西町
3丁目1-15

一般歯科
line

むし歯や歯周病は予防できる病気です
むし歯とは、口腔内の細菌がつくりだした酸が歯質の脱灰と溶解を起こす、歯の疾患です。最初は、歯の表面にあるエナメル質が侵され、黒い着色や白濁が見られますが、痛みなどの自覚症状が現れません。これを放置すると、次第にエナメル質の下にある象牙質に到達し、冷たいものを食べたときや固いものを噛んだときに痛みを感じるようになります。さらに進行すると、歯随(歯の神経)に到達し、炎症を起こすようになります。



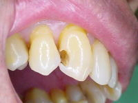
見た目ではわかりにくいけれど....

こんなにむし歯になっています!


また、歯周病の最大の原因は、歯の汚れプラーク(歯垢)の長期にわたる付着によると考えられています。プラークには無数の細菌が生息していて、これらの細菌が歯茎部の歯肉に付着すると炎症を起こし、進行することによって歯槽骨を溶かしてしまいます。


歯周病は普通、痛みがなく自覚症状もありません。
しかし、進行度によって下記のような症状が出ます。

1.歯磨きをすると歯肉から出血する
2.歯周ポケットの形成
3.歯肉の退縮・歯槽骨の吸収
4.歯の動揺・脱落

line

予防するには?

むし歯を予防する一番効果的な方法は、プラークコントロール。細菌の活動を抑える口腔内をつくることです。正しい方法で歯を磨き、清潔な口腔内を保てば、むし歯はもちろん、将来的に加齢とともに進行する歯周病を予防することにも繋がります。

歯周病の予防には、むし歯予防と同様こまめにプラークを取り除き、歯周ポケット内を清潔に保つことで、歯肉の退縮を抑制することが大切です。

当院では、患者様のお口の健康を守るため、定期的な検診に加え、お家でのお手入れを手助けするブラッシング指導、普段のお手入れでは行き届かない部分には専用機器を用いた歯面清掃、歯質強化のためのフッ素塗布などを推奨しております。

また、院内には補助的清掃用具(歯間ブラシ・デンタルフロス・電動歯ブラシなど)を多数取り揃えております。患者様一人一人に合ったものをアドバイスさせていただきますので、お気軽にご相談ください。




gradation

Copyright (C) 2011 河内長野市の歯医者・歯科医院 | おかもと歯科 All Rights Reserved.